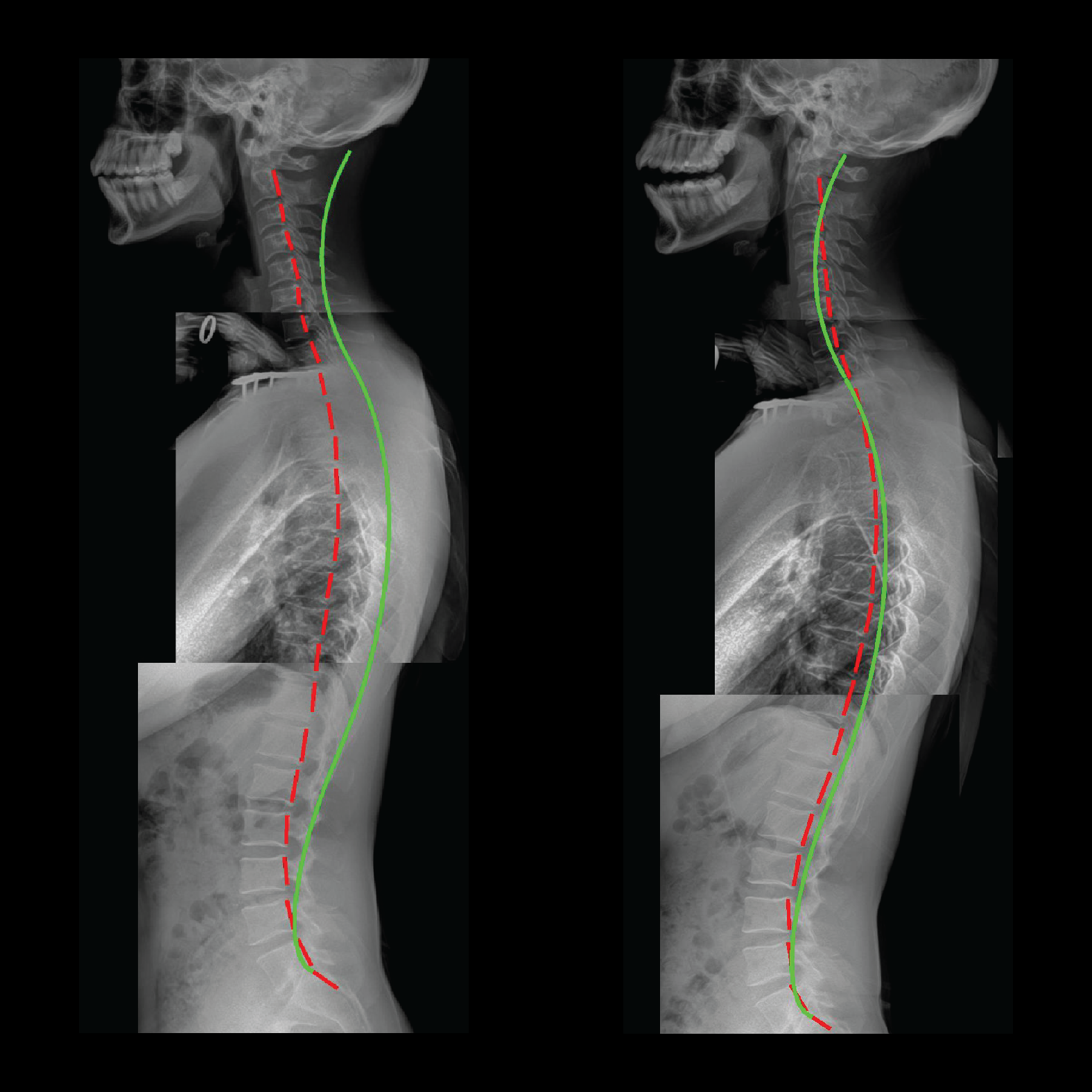
Spinal Correction Of The Month
We are proud to present our Correction of the Month, Megan!
Using our state-of-the-art spinal corrective system, her headaches and neck pain have drastically improved!
Call us today for your complimentary spinal screening and exam!
740-917-5200
Progress X-Ray
The patient’s spinal curve has improved relieving the patient from her ongoing spinal headaches.
